インプラント治療

インプラントは失った歯を補うための治療です

一般歯科

 

インプラントは、歯周病や虫歯で失った歯を人工的な歯の根となるインプラントを顎の骨に埋め込み、その上にセラミックなどで作られた人工の歯を装着する治療方法です。失った歯を自然な見た目で補うだけでなく、天然の歯に近い噛む力を回復させることもできます。また、インプラントは周囲の歯に負担をかけず、顎の骨を刺激して骨量を維持する助けとなるため、口腔の健康を保つのにも役立ちます。

※インプラント治療は自由診療になります。


インプラント治療のメリット・デメリット

小児歯科

 

メリット

①他の健康な歯への影響が小さい

入れ歯は場合によって自分の健康な歯を少し削ることもあり、またバネのかかっている歯に支えを持たせるためバネのかかっている歯が悪くなってしまうことがあります。日々取り外してメンテナンスをする必要もあります。
ブリッジも、取り付けの際に周囲の健康な歯を削る必要があります。

インプラントの場合は顎の骨にチタンの人工歯根を埋め込んで人工の歯を取り付けるため、周囲の歯を削る必要がありません。インプラントはブリッジの治療法と比べて、残っている健康な歯に負担を与えないことが大きなメリットと言えます。

②取り外しの面倒がない

ブリッジにも言えることですが、入れ歯のように毎晩取り外し洗浄する必要がないのと、食事中に入れ歯と歯茎の間にものが挟まるといったこともありません。

③違和感が少ない

入れ歯の場合は一般的に装置が大きく、また上の歯は口蓋をプレートが覆っていたり下の歯は舌側に金属が通っていたりしており違和感を覚えることが多いです。
一方インプラントの場合はほぼ以前と同じ大きさの歯が入るので、異物感は少なくて済みます。

④しっかり噛める

ブリッジや入れ歯と比べると咀嚼効率が高く、自分の歯に近い感覚でしっかり噛むことができ、食べ物をおいしく味わえます。

⑤審美面に優れており、自然な見た目になる

入れ歯のお悩みにある外れるという心配もなく、金属の装置が見えるようなこともないためご自身の歯と同じような見た目で自信を持って笑うことができます。

デメリット

①保険適応外

保険適応外なので保険診療と比べると治療費が大きくなります。インプラントの治療内容によって費用は異なりますので費用を確認して治療を進めることが大切です。

②手術が必要

入れ歯やブリッジと違い、インプラントを埋入するためには局部麻酔をし、歯茎を切開して顎の骨を削る外科手術が必要になります。
手術の程度によって術後の腫れ痛みの程度も変わってきます。

③治療期間が長め

インプラント手術後に骨とインプラントが結合するのを待つ期間が必要になります。
骨の状態によって待つ期間は異なりますが、入れ歯やブリッジより治療期間は長くなります。


インプラント治療の流れ

インプラント

 

1.カウンセリング
患者さまに最適な治療プランをご提案できるよう、インプラント治療を始める前にカウンセリングを行います。歯を失ってしまった原因やインプラント治療に求めている回復などの治療自体に関わることはもちろん、患者さまのお気持ちなども丁寧にお聞きします。些細な疑問や不安も解消できるようにご相談に乗りますので、お気軽にお申し付けください。費用については手術法、被せものにより変わります。

 

2検査と治療計画
インプラント治療が可能かどうか、歯科用CTを用いて顎の骨の密度や量の検査を行います。検査結果をもとに治療計画をご提案いたします。
インプラントは外科手術を行います。服用されているお薬に出血が止まりにくい薬がないかなど、全身状態を確認します。
顎の骨の密度や量の検査を行います。歯の型取りや、むし歯や歯周病のチェック、レントゲンや歯科用CTの撮影をします。

 

3初期治療
インプラントを埋め込む前に、むし歯や歯周病の治療を行います。口腔内が清潔な状態になってから手術を行います。

 

4インプラント体の埋入
手術は局所麻酔で行います。 歯ぐきを開き、インプラントを埋め込む穴を開けます。治療を行った場所にもよりますが、人工歯根と骨が結合するまで2~3ヶ月ほどかかります。前歯のインプラントの場合など、手術した日に仮歯が入る処置(抜歯即時埋入負荷)も行っております。※骨が柔らかい場合などは、手術を2回に分けて行うケースもあります。


5歯の型取り
人工歯の製作のために、歯の型取りを行います。

 

6人工歯の装着
患者様のご希望の素材で製作した人工歯を取り付けます。かみ合わせを整えて調整された仮歯をもとに、精密に製作された人工歯をアバットメントに装着して、インプラント治療は終了です。


7メンテナンス
インプラント自体は虫歯にはなりませんが、歯周病のようなインプラント周囲炎には十分注意しましょう。インプラントを長持ちさせるためにも、しっかり歯磨きを行い、メンテナンスを受けに定期検診に通うようにしてください。




長期安定と安全なインプラント治療のための取組み

予防歯科

 

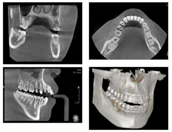
歯科用CT

 

歯科用CTにより精密な診査・診断を行うことができます。平面的なレントゲン画像だけでは分からない、顎の骨量や血管、神経の位置などを確認します。

親知らずの抜歯や、歯の根の治療、インプラントなどの精密な検査・処置が求められる治療には欠かせません。

 

高品質のインプラント

 

 

世界シェアトップクラスの「Straumann(ストローマン)」国内シェアトップクラス「京セラ」のインプラント等を採用しています。
特徴として
顎の骨との結合が早く、日本人の顎にも適した形状
生体親和性が高く、金属アレルギーの心配がほぼない
精密技術の高さと徹底された品質管理
科学的根拠(エビデンス)に基づいた信頼性の高いインプラント
世界シェアトップクラス、国内シェアトップクラスで多くの歯科医院でアフターケアが可能です。

コンピュータガイデッドサージェリー

 


 

当院では、専用ソフトウェアを用いてインプラント治療をコンピュータ上で計画します。その後、患者様専用のマウスピース型手術指標(ガイド)を作製し、インプラント手術を行います。計画通りの位置にインプラントを埋入することができ、より安全で正確な治療を行うことができます。

また、ガイドを使用することで、歯茎を大きく切開したり骨を必要以上に削ることも避けられるため、一般的な手術方法と比べて治療後の腫れや痛み、出血が少なくなります。これにより、患者様の体への負担を軽減できます。

※ガイド作製は別途料金がかかります。

ISQ(インプラント安定指数)測定器


インプラントが骨に結合する進み具合は人によって異なり、経験や感覚に頼って治療が進められるケースが多くあります。ISQ(インプラント安定指数)測定器を使用することで、より確実に治療の進捗を判断することができます。

インプラント体と骨の結合度を数値によるデータで表せる
客観的なデータにより、治療タイミングを的確に判断できる
安定した数値が出れば、治療期間の短縮が可能になる


インプラントに関するよくある質問

矯正歯科

 

インプラントに関するよくある質問

Qインプラントによる腫れや痛みはありますか?

A痛みや腫れは術後、2~3日をピークに徐々に治まっていきます。
また、痛み止めや抗生物質が処方されることがほとんどです。

Qインプラント手術後の注意点は?

A手術内容にもよりますが、抜糸をするまではアルコールや硬い食べ物を避け、激しいスポーツ、食いしばるようなスポーツは避けましょう。

Qインプラント埋入後、CTやMRI撮影に影響はありますか?

A一般的な歯科用インプラントであれば、問題なくCTやMRI検査を受けることができます。

Qインプラント治療完了後の定期検診を怠るとどうなりますか?

A定期的な検診を怠ると、インプラント周囲炎となり、最終的にせっかく埋入したインプラントが抜け落ちてしまう恐れもあります。
そうならないためにも、3ヶ月~6ヶ月に1度の定期健診を受けましょう。

Q費用はどれくらいかかるか?

A自由診療になります。手術方法や被せものの種類、インプラント本体の種類によって必要な材料費が変わるため治療費も異なります。治療を希望の方には診査診断した上で治療費の説明を行います。

インプラントにかかる費用 

相談・検査・診断料 22000円~

手術費(一次・二次オペ) 243000円~

上部構造 133000円~

 

 


インプラント後のメンテナンス

審美歯科

 

インプラントは治療後もしっかりケアを継続して行うことで長期にわたり使い続けることが可能です。
患者様ご自身による正しいブラッシングや歯間ブラシなどによるセルフケアと、歯科医院でのプロフェッショナルケア(クリーニング)でインプラントの寿命を延ばしましょう。